Ортодонтия Акриловые зубные протезы Установка пломбы Наращивание зубов Коронка на зуб Реставрация зубов Синус-лифтинг Чистка зубов Удаление зубного камня Лечение пульпита Отбеливание зубов Zoom 4 Голливудская улыбка Накладки на зубы Выравнивание зубов без брекетов Виниры на зубы Люминиры на зубы Лечение зубов под микроскопом Лечение зубов Удаление зубов Удаление зуба мудрости Пластика десны Лоскутная операция на десне Домашнее отбеливание зубов Гингивэктомия Вестибулопластика Киста зуба — лечение обязательно! Имплантация «Все зубы сразу» Trefoil — все на 3-х имплантах Съёмные зубные протезы Протезирование зубов Мостовидный протез Металлокерамика Коронки из циркония Керамические коронки Зубные вкладки Бюгельный протез зубов Отбеливание зубов Лечение десен Трейнеры для зубов Сапфировые брекеты Пластинка для выравнивания зубов Металлические брекеты Керамические брекеты Элайнеры Брекеты Имплантация зубов Импланты зубов
img
ALL-on-4
Новые зубы за 1 день!
Узнать подробнее

Россия, Хабаровск, улица Морозова Павла Леонтьевича, 89

Пн-Вс: 8:00 — 21:00

Новые зубы за один день?

Подробнее
img

Виниры на зубы

  • Установили более 1 000 виниров
  • Высокое качество материалов
  • Врачи-ортопеды с опытом более 10 лет
Рассрочка 0% Запись на прием

Виниры — это накладки на переднюю поверхность зубов толщиной от 0,3 до 1,5 миллиметра. Микропротезы могут быть сделаны из композита или керамики. Установка виниров на зубы происходит прямым (непосредственно на зубной поверхности) или непрямым (накладки изготавливаются в лаборатории) методом.

Виды виниров

Виниры изготавливаются из различных материалов, среди них — керамика, цирконий и композит.

Композитные виниры

Из композита


Данный тип виниров делится на два подвида. Если накладка создается с помощью композитных материалов прямым методом непосредственно на зубах, то подобную процедуру называют еще и художественной реставрацией зубов. Не так давно появились и готовые виниры из композита (компониры), устанавливаемые непрямым методом. Однако в отличие от керамических пластинок, нет необходимости ждать их изготовления. Микропротезы имеют стандартные размеры и оттенки, из которых можно выбрать подходящий вариант и тут же установить на зубы. Тем не менее, по эстетическим характеристикам компониры во многом уступают керамическим винирам.

Виниры на зубы фото

Из керамики


Наиболее совершенный и эстетичный вид реставраций, полностью имитирующий натуральную структуру зубов, за что высоко ценится специалистами по всему миру. Керамика — единственный материал, обладающий теми же характеристиками, что и зубная ткань. Поэтому неслучайно в научно-клиническом центре Estetica выбор пал на керамические виниры IPS E.Max от компании Ivoclar Vivadent (Германия). Их толщина — всего 0,3 миллиметра.

Виниры на зубы

Из циркония


Цирконий не обладает прозрачностью керамики, поэтому циркониевые накладки покрываются тонким керамическим слоем. Конструкции выходят довольно громоздкие, их толщина может достигать более 0,6 миллиметра. Это значит, что зубы придется существенно обтачивать перед установкой конструкции. Из-за слабой способности к адгезии циркония с другими материалами специалисты рекомендуют устанавливать циркониевые виниры лишь в исключительных случаях.

Виниры IPS E.Max Ivoclar Vivadent


В научно-клиническом центре Estetica устанавливают виниры IPS E.Max всемирно известной компании Ivoclar Vivadent. Накладки изготавливаются из высококачественной керамики и отличаются ультратонкостью ¬— их толщина всего 0,3 миллиметра. Из всех видов виниров их срок службы самый долгий — 15 лет.

Преимущества виниров

  • Виниры быстро исправят сразу три проблемы: желтизну, маленький или слишком большой размер, а также неправильную форму зубов.
  • Установка виниров не требует масштабного препарирования зубов и удаления нерва, как это обычно происходит при протезировании зубными коронками.
  • Реставрация зубов винирами восстанавливает утерянный с возрастом объем зубных тканей, возвращая молодость не только улыбке, но и лицу в целом.

Зачем нужны виниры на фронтальные зубы?

Показания для установки виниров касаются различных эстетических проблем с передними зубами. Это могут быть следующие случаи:

  • Темный цвет зубов, не поддающийся отбеливанию.
  • Белые пятна на зубной поверхности как следствие флюороза.
  • Маленький или слишком большой размер зубов.
  • Неправильное положение отдельных зубов.
  • Излишние промежутки между зубами (диастемы и тремы).
  • Последствия излишней стираемости зубов.
  • Легкая скученность.

Ставят ли виниры на жевательные зубы?

На жевательные зубы виниры ставят в исключительных случаях. Если пациент — обладатель широкой улыбки и желает изменить цвет зубных тканей, то специалист порекомендует установку виниров не только на передние, но и на боковые зубы. Еще одна причина для проведения подобной процедуры — пониженный тонус кожи в нижней части лица. В этом случае виниры создают дополнительный объем, за счет которого проблема решится без инъекций и скальпеля.

Установка виниров

Исправят ли виниры кривые зубы?

Виниры на кривые зубы ставят при условии, что искривление диагностируется в пределах зубного ряда и нет никаких серьезных аномалий смыкания зубов (окклюзии). С помощью виниринга действительно возможно без долгого ношения берекетов исправить неправильное положение зуба, а также легкую скученность. Однако тяжелые зубочелюстные нарушения одной только установкой виниров не поправить.

Все плюсы установки виниров в научно-клиническом центре челюстно-лицевой хирургии и стоматологии Estetica

Виниры на передние зубы: фото до и после установки

Пациент:женщина, 56 лет

Жалобы:неэстетичный вид зубов

Количество визитов в клинику:2

Лечащие врачи:

Пациент:женщина, 32 года

Жалобы:неэстетичный вид зубов

Количество визитов в клинику:2

Лечащие врачи:

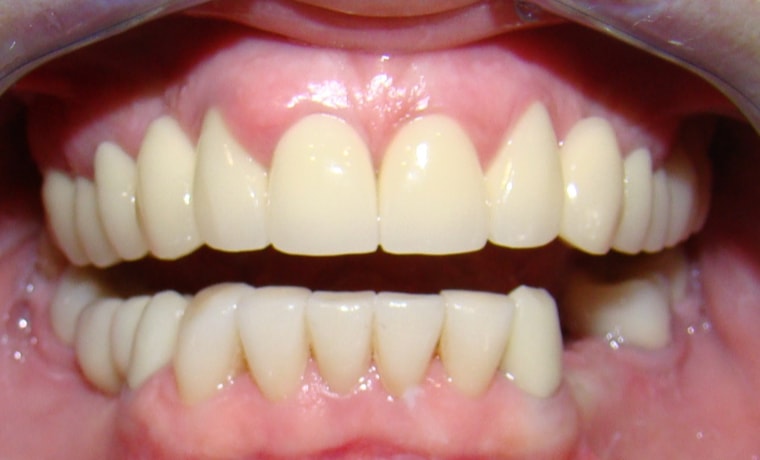
Пациент:женщина, 52 года

Жалобы:затрудненный прием пищи

Заболевания:адентия нижней челюсти

Количество визитов в клинику:2

Лечащие врачи:

Пациент:женщина, 40 лет

Жалобы:неудовлетворительный эстетический вид зубов

Количество визитов в клинику:2

Лечащие врачи:

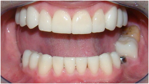
Пациент:женщина, 55 лет

Жалобы:затрудненный прием пищи

Количество визитов в клинику:2

Лечащие врачи:

Пациент:мужчина

Жалобы:эстетические дефекты

Количество визитов в клинику:2

Лечащие врачи:

Записывайтесь на консультацию

Мечтаете обрести великолепную улыбку?

Запишитесь на консультацию!

Специалисты по лечению

ВСЕ ВРАЧИ КЛИНИКИ

Врачи прошли специальный курсы по реставрации и коррекции зубов винирами

Установка винир в 3 этапа

Как делают виниры на зубы, интересует многих пациентов, кто решился на преображение своей улыбки. Процедура состоит из нескольких этапов.

1
2
3

Процесс

1
Этап — препарирование.
Зубная поверхность обрабатывается, в зависимости от ситуации. Если необходимо скорректировать только цвет, то зубы препарируются минимально. В случаях, когда требуется исправить форму или большой размер, зубная поверхность обтачивается примерно на 0,2 — 0,4 миллиметра.
2
Этап — снятие слепков.
С обработанных зубов снимаются слепки, которые затем отправляются в лабораторию для изготовления накладок. Далее проводится временная реставрация зубов композитными винирами. На данном этапе пациенту предоставляется возможность оценить новую улыбку.
3
Этап — фиксация.
Когда готовый комплект виниров из лаборатории приходит в клинику, пациенту снимают временные конструкции и устанавливают постоянные.

Вкладки и виниры на зубы — что лучше?

Зачастую пациентов интересует, чем различаются реставрации зубов вкладками и винирами. Это две принципиально разные технологии.

Особенности Вкладки Виниры
Показания
Разрушение зуба кариесом не более чем на 60%.
Эстетические несовершенства зубной поверхности, размера и формы зубов.
Материал
Керамика, металл, металлокерамика или композит.
Керамика или композит.
Способ установки
Устанавливается взамен разрушенной части зубных тканей.
Накладка создается или фиксируется на передней поверхности зуба.

Отзывы пациентов

ВСЕ ОТЗЫВЫ

Виниры на зубы — цена в Хабаровске

Сколько стоит поставить виниры на зубы? Цена на виниры составит всего 25 000 рублей за единицу. Минимально виниринг проводят на 6 зубах. Таким образом, стоимость виниров на зубы будет равна 150 000 рублей. Чтобы узнать, сколько стоит поставить виниры на все зубы, нужно умножить цену винира на количество зубов.

Беспроцентная рассрочка на лечение зубов

Percent
  • Срок рассрочки от 6 месяцев до 2 лет
  • Сумма рассрочки до 2 млн Р
  • Первый взнос 0 Р
Оставить заявку
  • Консультация врача стоматолога-ортопеда
    500 рублей
  • Изготовление цельнокерамического винира IPS e.max (1 ед.)
    25 000 рублей
ВАЖНО! Процедура виниринга становится все более востребованной в стоматологиях Хабаровска. И в этом нет ничего удивительного. Поставив виниры на зубы, человек обретает улыбку, достойную красной дорожки голливудских холмов. Однако так бывает только при условии, что вы попали в руки к настоящим профессионалам.
Консультация стоматолога-ортопеда — отвечаем онлайн!

Если у вас остались вопросы об установке виниров на зубы, задайте их нашему специалисту. В режиме онлайн вас проконсультирует врач научно-клинического центра челюстно-лицевой хирургии и стоматологии Estetica, опытный ортопед Бельды Николай Олегович и Арутюнян Артур Айкович. Специалист даст ответ в течение нескольких часов.

  • Б
    Баскакова Татьяна Олеговна
    Мне были установлены керамические виниры с обточкой одного переднего зуба и коронкой второго, Зуб с коронкой серого цвета т.е. штифт просвечивается. Как можно исправить данную ситуацию?
  • Б

    Главный врач, стоматолог-ортопед , стаж Более 19 лет

    Здравствуйте, Татьяна Олеговна. В вашем случае сложно ответить, т.к. для адекватной диагностики нужен снимок. Возможно вкладка металлическая просвечивает, возможно канал «так» запломбирован. Мы предлагаем записаться на консультацию к нашему доктору стоматологу-терапевту. Клинический опыт наших докторов имеет множество положительных результатов.
  • Н
    Настя Акимова

    Добрый день! У меня нижние зубы сильно скучены, передние резцы даже заходят друг на друга. Сначала думала поставить брекеты, но ведь придется носить их на обеих челюстях долгое время. А кроме того, меня не устраивает цвет и форма нижних зубов, это тоже нужно будет исправлять уже после коррекции брекетами. Скажите, нельзя ли просто поставить виниры на передние зубы, и разом исправить и скученность, и форму, и цвет?

  • Б

    Главный врач, стоматолог-ортопед , стаж Более 19 лет

    Добрый день, Анастасия!


    Дать вам однозначный ответ на ваш вопрос, не видя исходной ситуации непросто. Возможно, что скученность ваших зубов, и можно исправить винирами. Но может быть и другой вариант – без лечения и предварительной подготовки на брекет – системе невозможно установить виниры на кривые зубы. Для ответа на ваш вопрос необходимо провести очную консультацию и диагностику.

ЗАДАЙТЕ ВОПРОС
Обязательное поле!
Обязательное поле!
Обязательное поле!
Я согласен на обработку моих персональных данных (в соответствии с Федеральным законом №152-ФЗ «О персональных данных»)

Не откладывайте заботу о своем здоровье.

Запишитесь на прием уже сейчас!